HOME
I
LOGIN
I
JOIN US
4월31일치과
4월31일치과
임플란트
임플란트
치아교정
치아교정
심미치료
심미치료
일반진료
일반진료
상담&커뮤니티
상담&커뮤니티
4월31일치과
의료진 소개
진료시간 & 오시는길
4월31일치과
의료진 소개
진료시간 & 오시는길
충치치료
턱관절장애
이갈이
충치치료
턱관절장애
이갈이
온라인상담
치료전후사례
공지사항
이달의 진료일정
온라인상담
치료전후사례
공지사항
이달의 진료일정
APRIL31-DENTAL
상담&커뮤니티
상담&커뮤니티
4월31일치과
임플란트
치아교정
심미치료
일반진료
상담&커뮤니티
치료전후사례
온라인상담
치료전후사례
공지사항
이달의 진료일정
치료전후사례
------------- I I -------------
전체
라미네이트
올세라믹
앞니재보철
자연치보존술
잇몸성형
치아미백
임플란트
치아교정
기타
Total 80건
1 페이지
제목
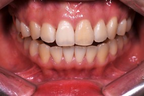
[라미네이트]
상악 전치부 라미네이트 6개 치료
증상
교정 치료 후 공간 문제
나이/성별
30대세 / 남성
제목
[라미네이트]
무삭제 라미네이트
증상
하악 전치부 공간
나이/성별
40대세 / 여성
제목
[라미네이트]
상악 전치부 라미네이트
증상
상악 전치부의 변색과 형태의 문제
나이/성별
30대세 / 여성
제목
[임플란트]
전치부 단일치아 임플란트
증상
상악 좌측 측절치 보철물의 문제
나이/성별
30대세 / 여성
제목
[앞니재보철]
변색치 재보철
증상
앞니 보철물이 검게 변했어요.
나이/성별
20대세 / 여
제목
[치아미백]
단일 치아 미백
증상
앞니 하나가 검게 변했어요.
나이/성별
25세 / 여성
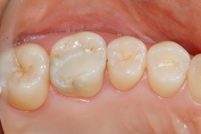
제목
[기타]
충치치료-세라믹 인레이(2개)
증상
치아 사이의 충치
나이/성별
30세 / 여
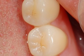
제목
[기타]
충치치료-세라믹 인레이
증상
아래 치아가 썩었어요
나이/성별
30세 / 여
제목
[기타]
충치치료-골드 인레이와 온레이
증상
치아 사이가 썩었어요
나이/성별
30세 / 여
제목
[기타]
치아 사이 공간
증상
치아 사이에 공간이 있어서 음식물이 자꾸 껴요!
나이/성별
56세 / 여성
열린
1
페이지
2
페이지
3
페이지
4
페이지
5
페이지
6
페이지
7
페이지
8
페이지
맨끝
게시물 검색
검색대상
제목
내용
제목+내용
회원아이디
회원아이디(코)
글쓴이
글쓴이(코)
검색어
필수
검색
·
의료기관명칭 : 4월31일치과의원
·
대표자 : 이승규
·
사업자등록번호 : 211-10-47792
·
주소 : 서울 강남구 강남대로 548 건우빌딩 5층
TEL : 02.562.2875
Copyright (C) 2021 April 31 Dental Clinic. all right reserved.
모바일로 지도 전송
(전화번호를 남겨주세요.)
010
011
016
017
018
019
개인정보취급방침
이용약관