HOME
I
LOGIN
I
JOIN US
4월31일치과
4월31일치과
임플란트
임플란트
치아교정
치아교정
심미치료
심미치료
일반진료
일반진료
상담&커뮤니티
상담&커뮤니티
4월31일치과
의료진 소개
진료시간 & 오시는길
4월31일치과
의료진 소개
진료시간 & 오시는길
충치치료
턱관절장애
이갈이
충치치료
턱관절장애
이갈이
온라인상담
치료전후사례
공지사항
이달의 진료일정
온라인상담
치료전후사례
공지사항
이달의 진료일정
APRIL31-DENTAL
상담&커뮤니티
상담&커뮤니티
4월31일치과
임플란트
치아교정
심미치료
일반진료
상담&커뮤니티
치료전후사례
온라인상담
치료전후사례
공지사항
이달의 진료일정
치료전후사례
------------- I I -------------
전체
라미네이트
올세라믹
앞니재보철
자연치보존술
잇몸성형
치아미백
임플란트
치아교정
기타
Total 80건
5 페이지
제목
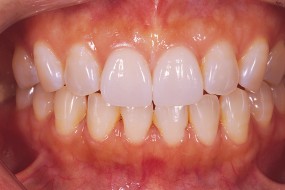
[치아교정]
치아교정과 앞니 수복
증상
치아 사이가 벌어졌어요
나이/성별
35세 / 남
제목
[라미네이트]
라미네이트 교체
증상
앞니 색 불만
나이/성별
40세 / 여
제목
[임플란트]
어금니 임플란트
증상
어금니 임플란트
나이/성별
세 /
제목
[치아미백]
미백 전 후 사진입니다
증상
미백 전 후 사진입니다
나이/성별
세 /
제목
[치아미백]
미백 전 후 사진입니다
증상
미백 전 후 사진입니다
나이/성별
세 /
제목
[치아미백]
미백 전 후 사진입니다
증상
미백 전 후 사진입니다
나이/성별
세 /
제목
[치아미백]
미백
증상
미백
나이/성별
세 /
제목
[라미네이트]
라미네이트
증상
라미네이트
나이/성별
세 /
제목
[라미네이트]
틀어진 치아 라미네이트
증상
틀어진 치아 라미네이트
나이/성별
세 /
제목
[라미네이트]
선천적 왜소치아 라미네이트
증상
선천적 왜소치아 라미네이트
나이/성별
세 /
처음
1
페이지
2
페이지
3
페이지
4
페이지
열린
5
페이지
6
페이지
7
페이지
8
페이지
맨끝
게시물 검색
검색대상
제목
내용
제목+내용
회원아이디
회원아이디(코)
글쓴이
글쓴이(코)
검색어
필수
검색
·
의료기관명칭 : 4월31일치과의원
·
대표자 : 이승규
·
사업자등록번호 : 211-10-47792
·
주소 : 서울 강남구 강남대로 548 건우빌딩 5층
TEL : 02.562.2875
Copyright (C) 2021 April 31 Dental Clinic. all right reserved.
모바일로 지도 전송
(전화번호를 남겨주세요.)
010
011
016
017
018
019
개인정보취급방침
이용약관